Scaphoid Fractures
The wrist is made up of 8 small bones. The most commonly fractured is the scaphoid. Although the bone is small, an ununited fracture can lead to the development of arthritis.
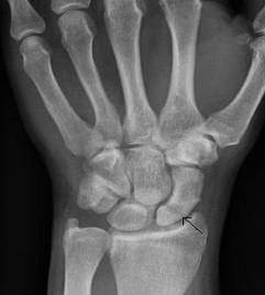
Unfortunately scaphoid fractures do not always show on an initial xray; they may not show up until the initial pain has settled down. The following patient's fracture did not show up on the original xrays taken in the A&E department. An MR scan shows the fracture clearly; the blue arrow points to the white area in the scaphoid that represents bruising in the bone. The subsequent xray confrims the presence of the fracture, albeit still very subtly (white arrows).
Most scaphoid fractures will heal in a plaster cast. Some however have an increased risk of not healing, and we have a low threshold for fixing these early. In the initial stages it is possible to do this with a minimal incision (percutaneous fixation). This fracture is at the lower end of the scaphoid (proximal pole fracture). We would aim to fix this early.
If the fracture does not heal it is necessary to open the fracture and insert bone graft before fixing the fracture with a screw. At the Manchester Hand Clinic we prefer to add a vascularised periosteal graft.
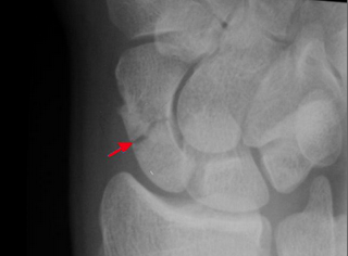
The above xrays show a scaphoid waist fracture (indicated by the red arrow) before fixation and showing solid union after screw fixation.
Where does the bone graft come from?
The bone may come from the elbow, the wrist or the hip
Will I be in plaster after surgery?
We normally use a plaster for 6 weeks and thena removable brace for a further 6 weeks after grafting. We then aim to obtain a ct scan to ensure that the scaphoid is healing.
